We offer a range of of general dentistry services to keep your mouth and smile healthy. Below are a few examples of some of our recent work.

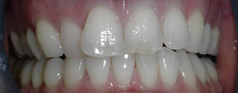
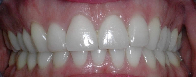
Poorly aligned and chemically eroded enamel on front teeth.

Porcelain veneers to align and obscure the eroded enamel.

Large space on bottom right to be restored with fixed and bonded bridges

Fixed cantilever all ceramic combined with an adhesive Maryland bridge

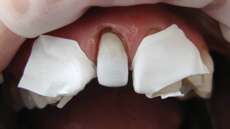
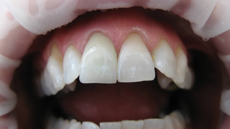
Replacing an old post crown in order to mask the dark metal below.

Super light enhancing coping made to cover this dark tooth structure.

A well matched all ceramic Emax crown to reinstate the patient's great smile.

This case shows a young girl born with missing teeth.

All spaces were restored using adhesive all ceramic highly aesthetic adhesive bridges allowing her to get on with her life.

Translucency of the Emax crown which brings the tooth appearance back to life.

Emax only on plaster mould.

Translucency and natural properties of the Emax inlays.

Emax only ready to bond.
Copyrights © 2024 All Rights Reserved
Ashby and Atkinson
Design by Dental Media